Se recomienda un examen oral de rutina cada 6 meses para mantener sanos los dientes y encías. Adicionalmente se puede detectar tempranamente cualquier problema, evitando tratamientos más complicados y costosos en el futuro.
¿Cómo se realizan?
El dentista realiza una revisión visual utilizando un espejo, explorador dental y una potente luz, para detectar cualquier picadura o fisura en un diente compatible con caries. También se revisa lo siguiente:
- Historia médica: el dentista evaluará cualquier condición médica o enfermedad que pueda afectar su salud dental.
- Examen para detectar caries: se revisarán todos sus dientes para detectar caries o rajaduras.
- Presencia de cancer oral: se examinará la cara, cuello, labios, lengua, garganta, tejidos y encías para detectar cualquier signo de cáncer.
- Evaluación de enfermedades de las encías (periodontal): se revisará sus encías y el hueso alrededor de los dientes para detectar evidencias de enfermedad periodontal.
- Examen de restauraciones existentes: se revisan obturaciones, coronas, puentes, implantes y prótesis para verificar que se encuentren en buenas condiciones.

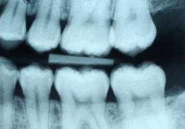
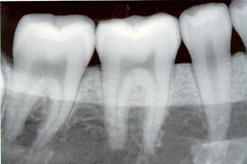
Adicionalmente, su dentista tomará radiografías de diagnóstico para revelar otros problemas ocultos. Se toma radiografías Bitewing cada 12 meses para detectar caries entre los dientes. Radiografías periapicales para una observación minuciosa de las raíces de los dientes así como de las estructuras adyacentes. Cada 3-5 años se toma una radiografía panorámica, la que involucra el uso de una máquina que gira alrededor de la cabeza, para examinar todo el maxilar, por si existieran problemas.

